Blog não oficial relacionado à Residência Médica em Patologia do Hospital das Clínicas da Universidade Federal de Minas Gerais
sexta-feira, 20 de dezembro de 2013
quinta-feira, 19 de dezembro de 2013
terça-feira, 17 de dezembro de 2013
Síndrome do Lobo Médio
SÍNDROME DO LOBO MÉDIO
CASO 7207/13 HC-UFMG
AUTOR: DR. PAULO HERNANE RABELO AZEVEDO
CONCLUSÃO: OS ACHADOS HISTOPATOLÓGICOS ASSOCIADOS À HISTÓRIA CLÍNICA SUGEREM TRATAR-SE DE SÍNDROME DO LOBO MÉDIO.
REFERÊNCIAS
1: Kwon KY, Myers JL, Swensen SJ, Colby TV. Middle lobe syndrome: a clinicopathological study of 21 patients. Hum Pathol. 1995.
CASO 7207/13 HC-UFMG
AUTOR: DR. PAULO HERNANE RABELO AZEVEDO
Paciente do sexo feminino, 4 anos, com suspeita de aspiração de corpo estranho, evolui com hemoptise de repetição e atelectasia persistente do lobo médio do pulmão direito. À broncoscopia, não houve progressão do aparelho. Realizada exérese lobar para exame anatomopatológico.
MICROSCOPIA: Pulmão apresentando acentuado colapso bronquioalveolar, extensas áreas de hemorragia e denso infiltrado inflamatório predominantemente mononuclear, ocasionalmente formando folículos. Notam-se ainda extensas áreas de fibrose com predomínio peribronquiolar e perivascular. Há congestão vascular, edema e alguns vasos sanguíneos trombosados.
CONCLUSÃO: OS ACHADOS HISTOPATOLÓGICOS ASSOCIADOS À HISTÓRIA CLÍNICA SUGEREM TRATAR-SE DE SÍNDROME DO LOBO MÉDIO.
DISCUSSÃO: A Síndrome do Lobo Médio (SLM) é uma entidade clinico patológica rara e pouco descrita na literatura. É caracterizada pelo colapso crônico ou recorrente do lobo médio pulmonar direito ou, menos frequentemente, da língula à esquerda ou de ambos. O paciente pode apresentar tosse crônica, hemoptise, dor torácica, dispneia e febre. Os exames de imagem (raios-X de tórax e tomografia computadorizada - TC) podem evidenciar consolidação, bronquiectasias, infiltrados e atelectasias em várias combinações. Os achados anatomopatológicos são diversos e inespecíficos, podendo ser caracterizados como bronquiectasia, bronquite/bronquiolite crônica com hiperplasia linfoide, pneumonia em organização, atelectasia, inflamação granulomatosa e formação de abscesso.
Existem duas formas fisiopatológicas de SLM: obstrutiva e não obstrutiva. Na obstrutiva nota-se lesão luminal ou compressão extrínseca do brônquio do lobo médio devido à linfadenopatia hilar ou tumores, causando atelectasia e pneumonia. Na não obstrutiva, não existe obstrução evidente à broncoscopia ou TC. Sua etiologia não é completamente entendida.
Nas formas obstrutivas, os pacientes se beneficiam do tratamento cirúrgico. Nas formas não obstrutivas, os pacientes geralmente respondem ao tratamento clinico com broncodilatadores, mucolíticos e antibióticos de largo espectro. Aqueles que não respondem evoluem inexoravelmente a lesão irreversível do lobo acometido. Estes últimos irão se favorecer com ressecção cirúrgica definitiva.
CONCLUSÃO: A presença de bronquiectasia, bronquite ou bronquiolite, pneumonia em organização ou atelectasia em espécimes de lobo médio direito ou língula sem uma causa identificável de obstrução do brônquio sugere o diagnóstico de SLM.
REFERÊNCIAS
1: Kwon KY, Myers JL, Swensen SJ, Colby TV. Middle lobe syndrome: a clinicopathological study of 21 patients. Hum Pathol. 1995.
2: Ayed AK. Resection of the right middle lobe and lingula in children for middle lobe/lingula syndrome. Chest. 2004.
3: Gudbjartsson T, Gudmundsson G. Middle lobe syndrome: a review of clinicopathological features, diagnosis and treatment. Respiration. 2012.
4: Shaikhrezai K, Khorsandi M, Zamvar V. Middle lobe syndrome associated with major haemoptysis. J Cardiothorac Surg. 2013.
5: Einarsson JT, Einarsson JG, Isaksson H, Gudbjartsson T, Gudmundsson G. Middle lobe syndrome: a nationwide study on clinicopathological features and surgical treatment. Clin Respir J. 2009.
3: Gudbjartsson T, Gudmundsson G. Middle lobe syndrome: a review of clinicopathological features, diagnosis and treatment. Respiration. 2012.
4: Shaikhrezai K, Khorsandi M, Zamvar V. Middle lobe syndrome associated with major haemoptysis. J Cardiothorac Surg. 2013.
5: Einarsson JT, Einarsson JG, Isaksson H, Gudbjartsson T, Gudmundsson G. Middle lobe syndrome: a nationwide study on clinicopathological features and surgical treatment. Clin Respir J. 2009.
domingo, 15 de dezembro de 2013
sexta-feira, 13 de dezembro de 2013
segunda-feira, 9 de dezembro de 2013
domingo, 8 de dezembro de 2013
EPIDERMODISPLASIA VERRUCIFORME
Dr. PAULO HERNANE RABELO AZEVEDO
PATOLOGIA : HC/UFMG : 7211/13
EPIDERMODISPLASIA VERRUCIFORME EM PACIENTE PORTADORA DE LES: Mulher, 31 anos, portadora de LES em uso de imunossupressor apresentado lesão vulvar pruriginosa. Realizado biópsia incisional.
As neoplasias cutâneas na EV têm grande relação com os HPV-5 e 8 e apenas ocorrem em áreas de pele exposta. A oncoproteína E6 do HPV-5 inibe a transativação do SMAD3, um importante componente do fator transformador de crescimento TGF-β1. Diferentemente do que ocorre no câncer do colo uterino, onde o genoma viral é incorporado ao DNA do hospedeiro, na EV ele permanece extracromossômico. Os raio UV-B promovem modulação de região não-codificante ativadora da atividade do HPV-5 e 8.
PATOLOGIA : HC/UFMG : 7211/13
EPIDERMODISPLASIA VERRUCIFORME EM PACIENTE PORTADORA DE LES: Mulher, 31 anos, portadora de LES em uso de imunossupressor apresentado lesão vulvar pruriginosa. Realizado biópsia incisional.
DISCUSSÃO: A Epidermodisplasia Verruciforme (EV) é condição rara caracterizada pela susceptibilidade seletiva de tipos específicos de HPV (subtipos 5 e 8, principalmente) infectarem a pele, defeito na imunidade celular e maior risco de desenvolvimento de neoplasias malignas, especialmente carcinoma de células escamosas.
As lesões são descritas como verrugas planas ou semelhantes a pitiríase. Em pacientes negros podem lembrar ceratose seborréica. As áreas mais frequentes são em membros, face e dorso das mãos.
A ocorrência é caracteristicamente em indivíduos suscetíveis portadores em homozigose de mutação nos genes EVER1 e EVER2. Esses genes foram mapeados no braço longo do cromossomo 17 (17q25) e codificam proteínas transmembrana constituintes do transportador de zinco 1 (ZnT-1) do retículo endoplasmático. Tal mutação acarretaria a uma distribuição intracelular de zinco alterada. Formula-se a hipótese de que estas proteínas restringem a predileção de tipos específicos do HPV. Entretanto, alguns casos sem a mutação nos genes EVER1 e EVER2 já foram relatados.
Parece que os pacientes suscetíveis mostram uma resposta anormal das células T aos queratinócitos infectados pelo HPV. O defeito mais comum é a diminuição no número e na função das células T-helper, porém os pacientes não têm susceptibilidade a ouras infecções. EV já foi relatada em pacientes sabidamente imunocomprometidos, portadores de linfoma, timoma maligno e molusco contagioso diseminado.
Histologicamente, a EV é caracterizada por acantose, hipergranulose, hiperceratose, e queratinócitos vacuolados de citoplasma azul acinzentado pálido (corados em HE) organizados em ninhos ou colunas na epiderme. Atipia não é infrequente e, quando presente, evolui para carcinoma in situ em 30-50% dos casos. A maioria dos carcinomas são do tipo escamoso, mas alguns podem ter características de diferenciação para glândulas sudoríparas.
As neoplasias cutâneas na EV têm grande relação com os HPV-5 e 8 e apenas ocorrem em áreas de pele exposta. A oncoproteína E6 do HPV-5 inibe a transativação do SMAD3, um importante componente do fator transformador de crescimento TGF-β1. Diferentemente do que ocorre no câncer do colo uterino, onde o genoma viral é incorporado ao DNA do hospedeiro, na EV ele permanece extracromossômico. Os raio UV-B promovem modulação de região não-codificante ativadora da atividade do HPV-5 e 8.
terça-feira, 3 de dezembro de 2013
domingo, 1 de dezembro de 2013
Jerard Gardner
Blog: Jerard Gardner (TimAllenMDJD).
Blog interessante de patologista jovem dedicado a patologia de tecidos moles, dermatopatologia e novas formas de comunicação (virtual/redes sociais) entre patologistas.
Vale conferir também o grupo no Facebook Bone and Soft Tissue Pathology, casos interessantes, bem ilustrados e comentados.
Blog interessante de patologista jovem dedicado a patologia de tecidos moles, dermatopatologia e novas formas de comunicação (virtual/redes sociais) entre patologistas.
Vale conferir também o grupo no Facebook Bone and Soft Tissue Pathology, casos interessantes, bem ilustrados e comentados.
"Frederico, that (the drink) is Evans Williams 1783 Kentucky straight bourbon whiskey"
sábado, 23 de novembro de 2013
A systematic analysis of commonly used antibodies in cancer diagnostics
G Gremel et al.
A systematic analysis of commonly used antibodies in cancer diagnostics.
Histopathology (2013)
O trabalho se diz (talvez) o primeiro a trabalhar num grande coorte de carcinomas primários e metastáticos para análise da positividade de marcadores imunoistoquímicos de uso comum. Fez-se uso de tissue microarray de 940 amostras. Discuti-se sensibilidade/especificidade /valor preditivo positivo, etc… Tudo bem, apenas não compreendo como se pode iniciar uma análise desse talhe partindo da premissa que os sítios primários das lesões são seguramente desse ou daquele órgão (“only confirmed primary tumours and metastases from known primary tumours were included”) sem referir o que foi usado como “padrão-ouro”: um consenso clínico/patológico? Vai que algum carcinoma ‘confirmed’ de origem primária pulmonar (p.ex) mostra-se CK7-/CK20+/CDX2+ nesse estudo: isso não era para ser cólon desde o início?
De toda forma, segue um resumo das principais ideias:
1- SENSIBILIDADE/ESPECIFICIDADE
ALTA SENSIBILIDADE E ALTA ESPECIFICIDADE: TG, PSA e Cromogranina A
Apenas 3 anticorpos estudados mostraram alta sensibilidade e especificidade:
- TG, PSA e Cromogranina A.
ALTA ESPECIFICIDADE: GCDFP15 (proteína fluida 15 da doença macrocística) quase que só se expressou em casos de carcinoma da mama (alta especificidade) mas expressou em apenas 43% (baixa sensibilidade).
ALTA SENSIBILIDADE: HEPAR1 marcou TODOS os casos de carcinoma hepatocelular, entretanto marcou uma quantidade expressiva de carcinomas de estomago, testículo, pâncreas, cólon, colangiocarcinomas e carcinomas do pulmão.
2- DIFERENÇAS DE EXPRESSÃO EM METÁSTATSES:
O autor identificou diferenças de expressão de marcadores quando comparava o teste nas lesões primárias ou metastáticas. A Napsina-A e o TTF1 (fator 1 de transcrição tireoidiano) DIMINUIRAM sua expressão nas metástases quando comparadas à frequência de expressão no tumor primário. Da mesma forma, os carcinomas metastáticos de origem endometrial mostraram menor frequência de expressão do RP (mas não do RE). Em 135 tumores foi possível comparar o nível de expressão entre tumor primário e metástase sendo que o anticorpo onde a maior variação encontrada foi com o CEA e a menor com a TG.
3- PERFORMANCE DE PAINEIS PARA PULMÃO CÓLON E MAMA:
PULMÃO: TTF1 e NapsinaA
: Um painel com positividade tanto para TTF1 quanto para Napsina-A mostra maior especificidade e VPP para pulmão quando comparado à positividade dos marcadores isoladamente (e a sensibilidade não se altera!). A Napsina-A tem baixa sensibilidade para pulmão mas tem maior especificidade e VPP do que o TTF1. (Isso é interessante porque eu achava que o TTF1 tinha grande especificidade para pulmão). Entretanto, quando se trata de metástase, a positividade dos dois marcadores decresce significativamente.
COLON: CK20, CDX2, CK7
: CDX2 é mais específico e menos sensível para cólon que o CK20. Todos os casos de cólon do estudo marcaram ou para CK20 ou para CDX2. A adição da NEGATIVIDADE do CK7 em especificidade ainda maior mas diminui o VPP. Há autores que indicam o padrão CK7-/CK20+ mas acurado para o diagnóstico de carcinoma de cólon do que CDX2. Apesar de ser benéfico o uso dos três marcadores, o padrão CK7-/CK20+ é um pouco mais sensível e específico para colon do que o CDX2 isoladamente. ("The CK7-/CK20+ immunophenotype is more specific in differentiating colorectal adenocarcinomas from pancreatic and gastric adenocarcinomas than CDX2 expression").
MAMA: MAMAGLOBINA (MGB), GCDFP15 e RE.
: MGB e GCDFP15 não marcam outros tipos de tumor mas aparecem em apenas 50% dos carcinomas mamários. A marcação dos dois juntos é preditor robusto de origem mamária mas isso acontece em apenas 27% dos casos. 78% dos casos de mama foram RE+ mas a especificidade é baixa dado que vários carcinomas de endométrio e ovário também.
4- OUTROS DADOS:
: CKs 5, 18 e 19 não agregam para definição da origem do tumor muito embora a CK19 seja útil para distinção entre hepatocarcinoma e colangiocarcinoma e a CK5 (combinada com p63) seja útil para indicar diferenciação escamosa.
: Alguns anticorpos não informam sobre a linhagem do tumor como o CEA e o CA125. (Apesar da negatividade para CEAp ser referida como improvável para cólon).
domingo, 17 de novembro de 2013
segunda-feira, 28 de outubro de 2013
quarta-feira, 5 de junho de 2013
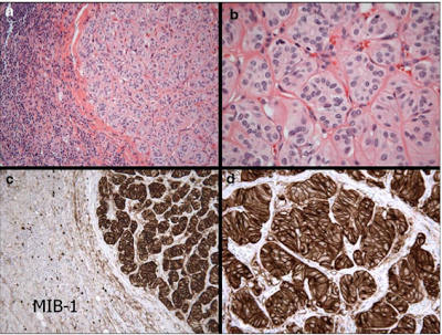
Expressão de MIB1 em membrana
No tumor tireoidiano trabecular hialinizante, o MIB1 (KI67) expressa-se em membrana.
Hyalinizing trabecular tumor of the thyroid: an update.
sexta-feira, 17 de maio de 2013
quarta-feira, 3 de abril de 2013
domingo, 24 de março de 2013
quarta-feira, 20 de março de 2013
domingo, 17 de março de 2013
Gliosis Versus Glioma?: Não faça graduação antes de saber do que se trata.
Gliosis Versus Glioma?: Don’t Grade Until You Know
Marie Rivera-Zengotita & Anthony T. Yachnis
Adv Anat Pathol 2012;19:239–249
++/+++
Marie Rivera-Zengotita & Anthony T. Yachnis
Adv Anat Pathol 2012;19:239–249
++/+++
O trabalho ilustra tipos de gliose e como um novo imunomarcador (IDH-1) pode ser útil em diferenciar gliose de gliomas ditos “focais” (grau I da OMS) dos difusos (grau II).
Quanto aos tipos de gliose, ilustram a astrocitose fibrosa (mais comum, com alteração gemistocítica), a protoplasmática (que cursa com clareamento da cromatina quando relacionada a doenças metabólicas, chamada The Alzheimer type II cell change e a gliose pilosa relacionada a fibras de Rosenthal (depósitos proteínaceos constituídos por GFAP e alfa-b-cristalin. A doença de Alexander é um desordem genética específica causada por mutações específicas no gen do GFAP que cursa com leucoencefalopatia extensa e abundante deposição de fibras de Rosenthal. Em lesões desmielinizantes o critério para distinção com neoplasias é a correta identificação de macrófagos que pode ser feita com o CD68. Diversamente com o que ocorre na gliose, a proliferação nos gliomas é mais irregular com tendência a formação de acúmulos. O fenômeno de satelitose peri-neuronal (ou sub-pial) é mais atribuído também à neoplasia. A gliose reacional é mais homogênea e com prolongamentos mais longos, as células tumorais tendem a ter prolongamentos menores realçados pela IHQ pelo GFAP. Entretanto, a IHQ pelo GFAP não permite o diagnóstico diferencial entre gliose reacional e glioma ou entre oligodendroglioma e astrocitoma.
Antes de se aplicar os critérios de graduação histológica de gliomas da OMS há que se excluir a possibilidade de um glioma focal, p.ex. astrocitoma pilocítico. Este pode apresentar proliferação endo-vascular e certo índice mitótico, sem contudo afetar sua graduação como grau I.
Juízo de valor sobre o trabalho:
+/+++ zzzz...
++/+++ vale a pena
+++/+++ indispensável
quarta-feira, 13 de março de 2013
segunda-feira, 11 de março de 2013
Calendário Residência Médica 2013
MARÇO 2013:
11/03/2013 - Seg - 18:30h - Discussão de Casos | (a)
13/03/2013 - Qua - 17:00h - Histologia do linfonodo (Dr. Frederico Melo) | (b)
15/03/2013 - Sex - 17:00h - Fixadores histológicos (Dra. Camila França) | (c)
19:30h - Happy Hour | (e)
18/03/2013 - Seg - 18:30h - Discussão de Casos | (a)
20/03/2013 - Qua - 17:00h - Histologia da medula óssea (Dr. Frederico Melo) | (b)
22/03/2013 - Sex - 17:30h - Classificação dos Carcinomas Pulmonares - Atualização
(Dr. Bernardo Ricardo | Dra Theara Fagundes) | (c,d)
25/03/2013 - Seg - 18:30h - Discussão de Casos | (a)
27/03/2013 - Qua - 17:00h - Fixação e processamento (Dr. Frederico Melo) | (b)
05/04/2013 - Sex - 17:00h - Processamento histológico (Dr. Paulo Hernane) | (c)
Notas:
(a) Associação dos Patologistas de Minas Gerais (APEMG) e Residência de Patologia do HC/UFMG
(b) Reunião interdisciplinar dos serviços de patologia e hematologia do HC/UFMG
(c) Reunião científica do programa de residência médica em patologia do HC/UFMG
(d) Reunião interdisciplinar dos serviços de patologia e oncologia do HC/UFMG
(e) Restaurante Viena (Av. Contorno. 3968 - Funcionários - Belo Horizonte - MG - (31) 3221-9555)
LOCAL: Terceiro andar da Faculdade de Medicina da UFMG, sala 340.
Av. Prof. Alfredo Balena, 190 Belo Horizonte - MG
11/03/2013 - Seg - 18:30h - Discussão de Casos | (a)
13/03/2013 - Qua - 17:00h - Histologia do linfonodo (Dr. Frederico Melo) | (b)
15/03/2013 - Sex - 17:00h - Fixadores histológicos (Dra. Camila França) | (c)
19:30h - Happy Hour | (e)
18/03/2013 - Seg - 18:30h - Discussão de Casos | (a)
20/03/2013 - Qua - 17:00h - Histologia da medula óssea (Dr. Frederico Melo) | (b)
22/03/2013 - Sex - 17:30h - Classificação dos Carcinomas Pulmonares - Atualização
(Dr. Bernardo Ricardo | Dra Theara Fagundes) | (c,d)
25/03/2013 - Seg - 18:30h - Discussão de Casos | (a)
27/03/2013 - Qua - 17:00h - Fixação e processamento (Dr. Frederico Melo) | (b)
05/04/2013 - Sex - 17:00h - Processamento histológico (Dr. Paulo Hernane) | (c)
Notas:
(a) Associação dos Patologistas de Minas Gerais (APEMG) e Residência de Patologia do HC/UFMG
(b) Reunião interdisciplinar dos serviços de patologia e hematologia do HC/UFMG
(c) Reunião científica do programa de residência médica em patologia do HC/UFMG
(d) Reunião interdisciplinar dos serviços de patologia e oncologia do HC/UFMG
(e) Restaurante Viena (Av. Contorno. 3968 - Funcionários - Belo Horizonte - MG - (31) 3221-9555)
LOCAL: Terceiro andar da Faculdade de Medicina da UFMG, sala 340.
Av. Prof. Alfredo Balena, 190 Belo Horizonte - MG
Marcadores:
fotos,
luciana,
moisés,
reunião,
Reuniões Interdisciplinares
Astrocitoma Pilocítico com características semelhantes ao oligodendroglioma
Pilocytic astrocytoma with abundant oligodendroglioma-like component.
Utsuki S, Oka H, Kijima C, Yasui Y, Fujii K, Kawano N.
Brain Tumor Pathol. 2012 Apr;29(2):103-6.
++/+++
O oligoastrocitoma não é o único tumor cerebral que possui aspecto em honeycomb. O astrocitoma pilocítico (dentre outros) pode mostrar áreas com células com halos semelhantes ao oligodendroglioma.
++/+++
O oligoastrocitoma não é o único tumor cerebral que possui aspecto em honeycomb. O astrocitoma pilocítico (dentre outros) pode mostrar áreas com células com halos semelhantes ao oligodendroglioma.
Relato de caso: paciente de 18 anos (Japão) com lesão localizada no vermis cerebelar causando hidrocefalia e alterações de campo visual.
Morfologia da lesão excisada: aspecto semelhante a oligodendroglioma com halos em favo de mel (“honeycomb”), por vezes com mais de um núcleo por halo. Os vasos não mostravam aspecto em tela de galinheiro (“chicken-wire”). As células invadiam profundamente o tecido nervoso cerebral, associavam-se a fibras de Rosenthal, corpos granulares eosinifílicos (limitados a uma parte da amostra). Houve positividade para GFAP e Olig2. O GFAP era mais forte nas áreas pilocíticas e mais fraco nas áreas semelhantes ao oligodendroglioma. As células não coraram Ki67. A análise do FISH feita em blocos de parafina para o status 1p/19q mostrou alelos 1p/19q intactos.
O uso do Olig2 não é útil porque também marca os astrocitomas pilocíticos. O marcador mais útil para diagnóstico dos oligodendrogliomas é o IDH1.
5 tumores que podem mostram padrão “honeycomb”:
Assinar:
Comentários (Atom)
EYE FOR AN AI: MORE-THAN-SEEING, FAUXTOMATION, AND THE ENACTMENT OF UNCERTAIN DATA IN DIGITAL PATHOLOGY
Olho para uma Inteligência Artificial: mais-do-que-ver, pseudo- automação e a instauração de dados incertos na patologia digital
-
Organizations: College of American Pathologists United States and Canadian Academy of Pathology American Society for Clinical Pathology Amer...



























